티스토리 뷰
뇌경색은 뇌혈관의 벽에 지방이 쌓이게 되면서 혈관이 좁아지고, 피가 굳어 생긴 혈전이 혈관을 막게 되는데요. 이 때 뇌가 손상되는 질환입니다. 뇌경색 초기증상을 빨리 파악해야 사망률을 크게 줄일 수 있기 때문에 아주 중요합니다. 이 글에서는 뇌경색 초기증상, 뇌경색 및 뇌졸중 치료에 대한 미국 의학 협회의 지침에 대해 알아보겠습니다.
뇌경색 치료의 핵심은 바로 골든 타임 안에 병원에 도착하여 치료를 받는 것입니다. 골든 타임 이내에만 도착하여도 생존률이 크게 올라가기 때문입니다. 골든타임에 대한 내용은 아래 글에서 간단하게 참고하시면 좋을 것 같습니다.
I. 뇌경색 초기증상
뇌경색의 초기 증상과 징후를 인식하는 것은 뇌 손상을 최소화하고 환자의 결과를 개선하기 위해 신속한 치료를 받는 데 매우 중요합니다. 뇌경색 초기증상은 영향을 받는 뇌 영역과 뇌졸중의 중증도에 따라 다를 수 있습니다. 다음은 일반적인 뇌경색 초기증상입니다.
1. 갑작스러운 쇠약 또는 무감각
뇌경색은 종종 신체 한쪽의 갑작스러운 쇠약 또는 무감각으로 나타날 수 있으며, 이는 편마비 또는 편측 마비라고도 합니다.
- 증상 특징: 얼굴, 팔, 다리 등 신체 한쪽에서 비대칭적으로 제어가 어려워지는 현상이 나타납니다.
- 발생 원인: 뇌의 해당 부분이 손상되어 근육과의 통신이 불가능해짐으로써 근육 제어와 감각이 부족해집니다.
- 식별 방법: 한쪽 얼굴이 처지거나 팔을 올리지 못하는 경우, 또는 말할 때 한쪽 입이 쳐지는 경우 뇌경색을 의심할 수 있습니다.
2. 말을 하거나 이해하는 데 어려움
뇌경색 동안 언어를 말하거나 이해하는 데 어려움을 겪을 수 있으며, 이를 실어증이라고 합니다.
- 증상 특징: 단어를 구성하기 어렵거나, 조리 있게 말하지 못하며, 다른 사람의 말을 이해하는 데 어려움을 겪습니다.
- 발생 원인: 뇌의 언어 처리를 담당하는 부분이 손상될 경우 발생합니다.
- 식별 방법: 불분명한 말투, 잘못된 단어 사용, 대화의 흐름을 따라가지 못하는 경우가 나타납니다.



3. 시력 문제
뇌경색은 시각 처리를 담당하는 뇌 영역에 영향을 미쳐 다양한 시력 문제를 유발할 수 있습니다.
- 증상 특징: 갑작스러운 시야 흐림, 복시(복시), 한쪽 또는 양쪽 눈의 부분적 또는 완전한 시력 상실 등이 나타납니다.
- 발생 원인: 뇌의 시각 피질이 손상될 경우 발생합니다.
- 식별 방법: 한쪽 눈이나 양쪽 눈의 시력 저하 또는 시야의 일부분이 보이지 않는 경우를 경험할 수 있습니다.



4. 갑작스럽고 심한 두통
갑작스럽고 강렬한 두통은 뇌경색 초기증상 중 하나로, 종종 일생 중 최악의 두통으로 묘사됩니다.
- 증상 특징: 원인을 알 수 없는 심각한 두통이 갑자기 발생합니다.
- 발생 원인: 출혈(출혈성 뇌졸중) 또는 뇌로 가는 혈류 감소(허혈성 뇌졸중)로 인해 뇌의 압력이 증가하여 발생할 수 있습니다.
- 식별 방법: 일상적인 두통과는 다른, 극심한 통증이 갑작스럽게 나타나는 경우입니다.
5. 현기증 또는 균형 상실
뇌경색은 균형 유지와 움직임 조정 능력을 손상시켜 현기증 또는 균형 상실을 초래할 수 있습니다.
- 증상 특징: 발의 불안정함, 걷기 어려움, 팔다리의 움직임 조정 어려움 등이 나타납니다.
- 발생 원인: 소뇌 또는 뇌간이 손상될 경우 발생합니다.
- 식별 방법: 갑작스러운 현기증, 평소와 다른 균형 감각 상실, 걷기 어려움 등이 나타날 수 있습니다.
6. 혼란 또는 변화된 정신 상태
뇌경색 동안 정상적인 뇌 기능의 붕괴로 인해 인지 및 정서적 변화가 발생할 수 있습니다.
- 증상 특징: 혼란, 방향 감각 상실, 기억력 문제, 지침을 따르는 어려움 등이 나타납니다.
- 발생 원인: 특정 뇌 영역이 손상되어 인지 기능이 저하될 때 발생합니다.
- 식별 방법: 갑작스러운 기분 변화, 동요, 무관심, 혼란스러운 행동 등이 나타날 수 있습니다.
II. 미국 뇌졸중 협회의 "FAST" 지침
미국 뇌졸중 협회는 뇌경색의 가장 일반적인 증상을 인식하고 기억하는 데 도움이 되도록 "FAST (Face, Arms, Speech, Time)"라는 지침을 활용할 것을 권장합니다. 이 지침은 뇌경색 초기증상을 빠르게 확인하고 신속한 의료 개입을 촉구하는 데 중요한 역할을 합니다. 다음은 "FAST" 지침에 대한 자세한 설명입니다.



Face (얼굴)
뇌경색 초기증상을 확인하기 위해 그 사람에게 미소를 짓도록 요청하십시오.
- 증상 확인 방법: 그 사람에게 미소를 지어보라고 요청합니다.
- 의심 증상: 얼굴 한쪽이 처지는 경우, 이는 뇌경색 초기증상일 수 있습니다.
- 설명: 뇌경색으로 인해 얼굴 근육을 제어하는 뇌의 한쪽이 손상되면 얼굴의 한쪽이 비대칭적으로 처질 수 있습니다. 이는 일반적으로 한쪽 눈이 처지고, 입가가 내려가는 형태로 나타납니다.
Arms (팔)
양팔을 들어 올리도록 요청하여 팔의 움직임을 평가합니다.
- 증상 확인 방법: 그 사람에게 양팔을 들어 올리라고 요청합니다.
- 의심 증상: 한쪽 팔이 아래로 표류하거나 들어 올릴 수 없는 경우, 이는 뇌경색 초기 증상일 수 있습니다.
- 설명: 뇌경색은 신체 한쪽의 근력을 약화시킬 수 있으며, 이로 인해 한쪽 팔을 들어 올리는 것이 어려워질 수 있습니다. 이는 팔의 힘이 부족하거나 완전히 들어 올릴 수 없는 형태로 나타날 수 있습니다.
Speech (말하기)
간단한 문구를 반복하도록 요청하여 언어 능력을 평가합니다.
- 증상 확인 방법: 그 사람에게 간단한 문구를 반복하도록 요청합니다. 예를 들어, "날씨가 좋습니다"와 같은 문장을 말해보라고 할 수 있습니다.
- 의심 증상: 그들의 말이 불분명하거나 이해하기 어려운 경우, 이는 뇌경색 초기 증상일 수 있습니다.
- 설명: 뇌경색으로 인해 뇌의 언어 처리 영역이 손상되면 말을 명확하게 하거나, 단어를 올바르게 선택하는 데 어려움을 겪을 수 있습니다. 이는 말이 어눌해지거나, 단어를 잘못 사용하거나, 문장을 제대로 형성하지 못하는 형태로 나타날 수 있습니다.
Time (시간)
이러한 뇌경색 초기 증상 중 하나라도 나타나면 즉시 응급 서비스에 전화를 해야 합니다.
- 행동 지침: 이러한 증상이 나타날 경우, 지체 없이 응급 서비스에 전화합니다. 예를 들어, 119에 전화하여 도움을 요청합니다.
- 설명: 뇌경색은 시간이 생명입니다. 빠른 치료가 뇌 손상을 최소화하고 생존 가능성을 크게 높일 수 있습니다. 증상이 나타난 순간부터 응급 서비스에 연락하여 신속하게 병원으로 이송되는 것이 중요합니다.
"FAST" 지침 요약
- F (Face): 미소를 지어보라고 요청. 얼굴 한쪽이 처지면 뇌경색 의심.
- A (Arms): 양팔을 들어 올리라고 요청. 한쪽 팔이 표류하거나 들어 올리지 못하면 뇌경색 의심.
- S (Speech): 간단한 문구를 반복하라고 요청. 말이 불분명하거나 이해하기 어려우면 뇌경색 의심.
- T (Time): 한 가지 증상이라도 나타나면 즉시 응급 서비스에 전화.






III. 뇌경색에 대한 미국 의학 협회 지침
미국의학협회(AMA)는 미국심장협회(AHA) 및 미국뇌졸중협회(ASA)와 같은 조직에서 수립한 뇌졸중 진단, 관리 및 치료 지침을 지지합니다. 이 지침의 주요 측면은 다음과 같습니다.
1. 신속한 평가 및 진단
뇌경색 초기 증상과 징후를 신속하게 인식하고 적시에 개입하는 것은 환자 결과를 개선하는 데 필수적입니다.
- 초기 평가: 의료 전문가는 NIHSS(National Institutes of Health Stroke Scale)와 같은 도구를 사용하여 뇌경색의 가능성을 신속히 평가합니다. 이 스케일은 환자의 신경학적 상태를 측정하여 뇌졸중의 중증도를 평가하는 데 사용됩니다.
- 진단 테스트:
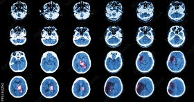
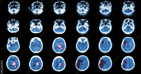
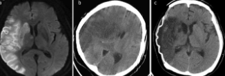
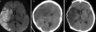
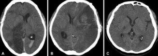
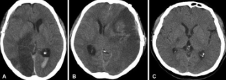
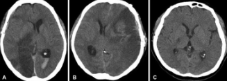
- 컴퓨터 단층 촬영(CT) 스캔: 뇌출혈 여부를 빠르게 확인하고, 뇌경색의 위치와 크기를 파악합니다.
- 자기 공명 영상(MRI): 더 정밀하게 뇌 구조를 확인하여 뇌경색의 유형과 위치를 결정하는 데 사용됩니다.
- 목표: 신속한 진단을 통해 적절한 치료를 즉시 시작하고, 뇌 손상을 최소화하는 것이 목표입니다.



2. 즉각적인 치료
뇌경색이 진단되면 가능한 한 빨리 치료를 시작하여 뇌 손상을 최소화해야 합니다. 치료 방법은 뇌경색의 유형에 따라 다릅니다.
- 허혈성 뇌졸중:
- 혈전 용해 약물: 증상이 시작된 후 처음 4.5시간 이내에 조직 플라스미노겐 활성화제(tPA)를 투여하면 혈전을 용해시켜 혈류를 회복할 수 있습니다.
- 혈관 내 절차: 기계적 혈전 제거술을 통해 혈관에 삽입된 카테터를 이용하여 혈전을 직접 제거합니다.
- 출혈성 뇌졸중:
- 출혈 조절: 혈압 조절, 항응고제 역전, 뇌 부종 감소를 위한 약물을 사용합니다.
- 외과적 개입: 필요한 경우, 출혈을 제거하거나 손상된 혈관을 복구하기 위해 수술이 필요할 수 있습니다.



3. 2차 예방 및 위험인자 관리
뇌경색 환자는 재발을 방지하고 뇌 건강을 유지하기 위해 지속적인 교육과 지원을 받아야 합니다.
- 위험인자 관리:
- 고혈압: 혈압을 엄격히 관리하여 뇌졸중 재발 위험을 줄입니다.
- 고콜레스테롤: LDL 콜레스테롤을 낮추고 HDL 콜레스테롤을 높이기 위한 약물과 식이요법을 시행합니다.
- 당뇨병: 혈당을 철저히 관리하여 혈관 손상을 줄입니다.
- 심방세동: 부정맥을 치료하여 혈전 형성을 방지합니다.
- 생활 방식 수정: 금연, 규칙적인 운동, 건강한 식단 등을 통해 심혈관 건강을 개선합니다.
- 재활 프로그램: 체계적인 운동, 식이 조절, 심리적 지원을 포함한 재활 프로그램에 참여하여 회복을 돕습니다.



4. 재활 및 장기 후속 치료
뇌경색 재활은 환자의 회복과 일상 생활 복귀를 위한 필수 요소입니다.
- 재활 프로그램:
- 물리 치료: 근력, 균형, 이동성을 회복하기 위해 운동 치료를 진행합니다.
- 작업 치료: 일상 생활 활동을 독립적으로 수행할 수 있도록 훈련합니다.
- 언어 치료: 언어 및 삼킴 능력을 개선하기 위한 치료를 제공합니다.
- 맞춤형 재활 계획: 여러 분야의 의료 전문가들이 협력하여 환자의 개별 필요와 목표에 맞춘 재활 계획을 개발하고 실행합니다.
- 정기적인 후속 관리:
- 의료진 상담: 정기적으로 의료 서비스를 제공받아 건강 상태를 모니터링하고 필요한 경우 치료 계획을 조정합니다.
- 치료 계획 준수: 환자는 처방된 약물을 정확히 복용하고, 생활습관 개선 지침을 준수해야 합니다.
- 합병증 예방: 뇌경색 후 발생할 수 있는 합병증을 예방하고 관리합니다.



IV. 결론
뇌경색 초기증상을 인식하고 즉각적인 치료를 받는 것은 환자의 예후를 크게 개선하고 장기적인 장애 위험을 줄이는 데 매우 중요합니다. 뇌경색 초기증상을 조기에 발견하면, 신속한 치료를 통해 뇌 손상을 최소화하고 회복 가능성을 높일 수 있습니다.



미국의학협회(AMA)와 미국심장협회(AHA), 미국뇌졸중협회(ASA) 등 주요 기관에서 제시한 지침과 권장 사항을 준수하면, 뇌경색과 관련된 지식과 인식을 높이고 적절한 대응을 할 수 있습니다. 이러한 지침은 신속한 평가와 진단, 즉각적인 치료, 위험인자 관리, 재활 및 장기 후속 관리를 포함하여 체계적으로 뇌경색을 치료하고 관리하는 데 도움을 줍니다.



이 글이 뇌경색 초기증상을 이해하고, 인식하는 데 도움이 되었기를 바랍니다. 관련된 정보를 잘 숙지하고 주변 사람들과 공유함으로써, 이 생명을 위협하는 질병에 대비하는 데 중요한 역할을 할 수 있습니다. 환자가 뇌경색 증상을 보일 때 신속히 대응하여 소중한 생명을 지키는 데 기여하면 좋을 것 같습니다.


